立竿见影!多学科联合治疗让69岁大爷畅快多了
扩张血管、植入支架,高大爷(化名)的冠脉介入治疗干净利落地完成了。“大爷,这回您感觉怎么样?”治疗过后,导管室医生问及患者感受。“哎呀,我现在胸口不憋闷了,呼吸也畅快多了,感觉老得劲了,真是谢谢你们啊。”听到高大爷朴实的回答,孙良医生和团队成员都被逗乐了。那一刻,大家从心底为他病情的好转感到高兴。

难以忍受,69岁老人因眩晕来就诊
高大爷今年69岁,身体状况不佳,患有多种基础病。一个月前,他突然感到头晕得厉害,并伴有疼痛感,疾病的频繁发作已经严重影响到他正常生活。听闻长春市第二医院翔运院区神经内科较擅长治疗头晕、头痛、各类脑血管病,于是在家人的陪伴下来神经内科找林静姝主任就诊。
突发情况,患者心血管存在发病隐患
凭借深厚的专业知识和丰富的临床经验,林静妹主任、肖俊英副主任在进行常规诊疗时,发现患者不仅患有神经科疾病,还存在严重的心血管疾病,甚至有猝死的风险。为了消除患者心血管发病隐患,林静姝主任请来导管室、心内科的医生进行全方位的会诊,并为患者实施血管造影。
联合治疗,支架植入术帮患者血运重建
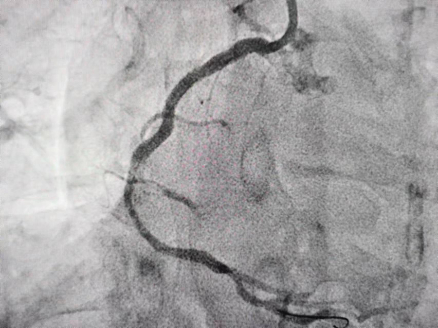
导管室副主任医师孙良为患者安排了造影检查。造影提示:其左侧一支血管闭塞,一支严重狭窄扭曲;右侧一支血管严重狭窄扭曲。考虑到患者冠脉三支病变。经会诊后,医生建议患者进行搭桥治疗。但是由于患者经济条件有限,根据患者身体情况,医生与患者家属协商后,决定为其进行“冠脉造影术+经皮冠状动脉内支架植入术”治疗,助其血运重建。

立竿见影,介入治疗让患者重获畅快感
6月15日10:00,患者被推入导管室接受治疗。导管室内,孙良医生和团队成员在影像的辅助下紧张忙碌着,大家各司其职,精准植入支架,并密切观察患者的身体情况;导管室外,林静姝主任一直陪同家属等待着。经过两个半小时的奋战,介入治疗成功完成。

术后,高大爷起身走下手术台,摸着胸口称畅快多了。通过介入治疗,患者的心脏血液供应得到明显改善,症状也得到极大缓解。随后,患者在林静姝主任及导管室医护的共同护送下安全返回病房。两个学科共同为患者制定了近期和远期的治疗规划,林静姝主任、肖俊英副主任要求当班医生严密监测患者病情。术后次日,在林静姝主任、肖俊英副主任查房时,高大爷表示,以前的不适症状再没有出现,肢体也活动自如,对治疗效果很满意。家属也对医护们连连道谢,感谢他们及时为高大爷消除心血管发病隐患。

值得点赞,这个科室不断为患者赢得生机
护佑生命,迎难而上。作为长春市唯一的老年病医院,长春市第二医院始终遵循着“爱病人胜过爱自己”的服务理念,让患者在温暖的氛围里接受治疗、康复出院。神经内科在急性缺血性脑卒中静脉溶栓治疗、血管内治疗方面具有丰富的经验。林静姝主任心思缜密,数次进行多学科会诊,帮患者消除其它发病隐患;肖俊英副主任刻苦钻研治疗新技术,多次组织科内培训。在她们的带领下,科室全体医护人员以高度的责任感和惊人的意志,克服种种困难,不断创造延续生命的奇迹:她们曾成功为93岁急性缺血性脑卒中患者完成静脉溶栓助其恢复;也曾与时间赛跑,成功治愈失语患者。凭借医者仁心,她们不断为患者赢得生机。
挽救生命无止境,迎难而上再出发。希望全院广大医护工作者不断钻研技术,提升业务水平,总结临床经验,从而更好地为广大患者提供优质医疗服务。